
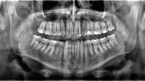
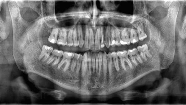
На перший погляд, зуби та кістки здаються схожими. То чому ж зуби не вважаються типом кісток? (Зображення: Carbonero Stock via Getty Images)
На перший погляд, зуби дуже схожі на кістки: обидві тверді, білі та багаті на кальцій. То чому ж зуби не вважаються частиною скелетної системи? Хоча зуби та кістки мають кілька основних подібностей, насправді вони досить різні.
Основна схожість між зубами та кістками полягає в тому, з чого вони складаються: тверда тканина, що складається з мінералів, таких як кальцій, фосфор, фтор та магній. На молекулярному рівні ці мінерали утворюють тверду кристалічну структуру, що робить і зуби, і кістки набагато твердішими, ніж усе інше в організмі.
Вам може сподобатися
-

Вікторина про людський скелет: Що ви знаєте про кістки вашого тіла?
-

Кератин, отриманий з овечої вовни, відновлює зуби за допомогою прориву
-

Який найсильніший м'яз у людському тілі?
Функції зубів і кісток
Одна з причин, чому зуби не вважаються частиною скелетної системи, полягає в тому, що зуби виконують зовсім іншу функцію, ніж кістки, сказав Хьюлетт. Основна робота зубів полягає в розщепленні їжі, яка потрапляє в травний тракт, хоча вони також важливі для мовлення. Через свою основну функцію ваші перлинні білі зуби вважаються частиною травної системи.
Кістки виконують різні функції. Вони забезпечують структуру та підтримку тіла, створюючи точки кріплення для нашої м’язової системи. Вони також захищають життєво важливі органи, в яких знаходяться ключові частини тіла, такі як серце та легені. А кістки служать виробничими фабриками як для еритроцитів, так і для лейкоцитів, які переносять кисень по всьому тілу та відіграють ключову роль в імунній системі відповідно.
Однак, функції зубів і кісток дещо збігаються. Кістки щелепи допомагають підтримувати зуби та важливі для жування, наприклад.
«Вони працюють разом, але є окремими», – сказав Хьюлетт.
Будова зубів і кісток
Оскільки кістки та зуби виконують різні функції, вони також по-різному побудовані. Зовнішня структура зубів називається емаллю, тонким шаром мінералізованої тканини. Емаль є найтвердішою речовиною в організмі — властивість, яку вона отримує від скупчених кристалів, що утворюються зі сполуки кальцію та фосфату.
Під емаллю знаходиться дентин, тип мінералізованої тканини, яка трохи м’якша за емаль, але все ще тверда. Дентин становить більшу частину структури зуба і містить крихітні трубочки, що містять кровоносні судини та нервові закінчення. Ядро зуба складається з желеподібної речовини, яка називається пульпою, в якій міститься більше кровоносних судин, що постачають поживні речовини до зуба та нервів, що контролюють відчуття в зубі.
З іншого боку, структура кісток виглядає зовсім інакше, ніж структура зубів.
Вам може сподобатися
-

Вікторина про людський скелет: Що ви знаєте про кістки вашого тіла?
-

Кератин, отриманий з овечої вовни, відновлює зуби за допомогою прориву
-

Який найсильніший м'яз у людському тілі?
Кістки покриті дуже тонким, міцним зовнішнім шаром, який називається окістям, і в якому містяться кровоносні судини та нерви, необхідні для росту та загоєння тканини. Наступний шар складається з міцної компактної кісткової тканини. Внутрішня частина кістки містить губчасту тканину – губчасту речовину з крихітними отворами, в яких міститься кістковий мозок, де утворюються нові клітини крові.
Жива проти мертвої тканини
Ви могли помітити, що, на відміну від зубів, кістки пронизані нервами та кровоносними судинами як зсередини, так і зовні. Це тому, що кістки є живою тканиною, тоді як зуби – ні, і це одна з найважливіших відмінностей між ними.
Зуби формуються під час внутрішньоутробного розвитку та раннього дитинства зі спеціалізованих клітин, які називаються амелобластами та одонтобластами, що створюють шари емалі та дентину, що з часом тверднуть. Після завершення цього процесу клітини, що утворюють емаль, відмирають, тобто якщо зуб відколовся або зламався, втрачена тканина не відросте. Хоча пульпа всередині зуба складається з живої тканини, вона не може допомогти в регенерації цих зовнішніх шарів дентину або емалі.
ПОВ'ЯЗАНІ ІСТОРІЇ
— Вчені виявили, що наші зуби еволюціонували з риб'ячого «бронежилета» протягом 460 мільйонів років
— Скільки зубів у людини?
—9 фактів про зуби, про які ви, ймовірно, не знали
Кістки, навпаки, є динамічними структурами, які постійно перебудовуються. Вони містять мережу кровоносних судин, нервів та живих клітин, які називаються остеобластами та остеокластами, що відповідно будують нову кістку та руйнують стару тканину. Це постійне оновлення дозволяє кісткам загоюватися після перелому та адаптуватися до змін у тілі, таких як зміни рівня стресу або активності людини. Фактично, більша частина скелета дорослої людини повністю оновлюється приблизно кожні 10 років.
«Кістка — це радше жива частина тіла», — сказав Х’юлетт. «Але бережіть свої зуби — вони не виростуть знову».

Мерилін Перкінс, менеджер контенту
Мерилін Перкінс — контент-менеджер у Live Science. Вона — наукова письменниця та ілюстраторка з Лос-Анджелеса, Каліфорнія. Вона отримала ступінь магістра з наукової літератури в Університеті Джонса Гопкінса та ступінь бакалавра з неврології в коледжі Помона. Її роботи публікувалися в таких виданнях, як New Scientist, журнал Школи громадського здоров'я Блумберга Університету Джонса Гопкінса та Penn Today, а також була лауреаткою премії Національної асоціації наукових письменників за досконалість у інституційному письмі 2024 року в категорії короткої форми.
Ви повинні підтвердити своє публічне ім'я, перш ніж коментувати
Будь ласка, вийдіть із системи, а потім увійдіть знову. Після цього вам буде запропоновано ввести своє ім'я для відображення.
Вийти Читати далі

Вікторина про людський скелет: Що ви знаєте про кістки вашого тіла?

Кератин, отриманий з овечої вовни, відновлює зуби за допомогою прориву

Який найсильніший м'яз у людському тілі?

Нове дослідження показує, що ніколи раніше не бачена двоюрідна сестра Люсі, можливо, жила на тому ж місці, що й найстаріший відомий вид людини

Згідно з новим дослідженням, 300 000-річні зуби з Китаю можуть бути доказом схрещування людей та Homo erectus.

Стародавні хоббіти уповільнювали ріст у дитинстві, що показує, що люди не завжди виростали «все більшими й більшими мізками»
Найновіше в анатомії

Вікторина про людський скелет: Що ви знаєте про кістки вашого тіла?

Спостереження за сонячним затемненням 29 березня може призвести до пошкодження очей за лічені секунди — і ви навіть не відчуєте цього

Нові клітини, виявлені в оці, можуть допомогти відновити зір, кажуть вчені

Вчені виявили новий тип жиру в животі людини

«Рудиментарний» людський м'яз, що ворушить вухами, насправді згинається, коли ми напружуємося, щоб почути

На скільки більше калорій спалюють м'язи, ніж жир?
Найновіші функції

Чому зуби не вважаються кістками?

Історія науки: Перше повідомлення між комп'ютерами закладає основу для інтернету, але воно дає збій на півдорозі — 29 жовтня 1969 року

Міжзоряний об'єкт 3I/ATLAS ось-ось стане дуже активним — космічне фото тижня

Прикраса для носа обезголовлювача: 1500-річна золота прикраса із зображенням кровожерливого південноамериканського бога

Водоспад Вічний вогонь: міні-водоспад Нью-Йорка, який приховує грот, наповнений невгасимим вогнем

Похмурий «череп» дивиться вгору з гігантської вулканічної ями в Сахарі
ОСТАННІ СТАТТІ

Ген на Х-хромосомі може допомогти пояснити високий рівень розсіяного склерозу у жінок
Live Science є частиною Future US Inc, міжнародної медіагрупи та провідного цифрового видавництва. Відвідайте наш корпоративний сайт.

Додати як пріоритетне джерело в Google
- Про нас
- Зв'яжіться з експертами Future
- Умови та положення
- Політика конфіденційності
- Політика щодо файлів cookie
- Заява про доступність
- Рекламуйтеся у нас
- Веб-сповіщення
- Кар'єра
- Редакційні стандарти
- Як запропонувати нам історію
© Future US, Inc. Повний 7-й поверх, 130 West 42nd Street, Нью-Йорк, штат Нью-Йорк, 10036.
var dfp_config = { “site_platform”: “vanilla”, “keywords”: “type-query,serversidehawk,videoarticle,van-enable-adviser-
Sourse: www.livescience.com



