
Деменції, як і хвороба Альцгеймера, характеризуються втратою функцій та відмиранням клітин мозку з часом, що ускладнює мислення, навчання та запам'ятовування. (Зображення: Westend61 via Getty Images) Перейти до:
Деменція – це група захворювань, які пов’язані з проблемами з пам’яттю, мисленням, міркуваннями та іншими функціями мозку. Її часто асоціюють з «нейродегенерацією», тобто процесами, які руйнують клітини мозку та погіршуються з часом. Хвороба Альцгеймера є найпоширенішою формою деменції, але існують й інші типи.
Понад 57 мільйонів людей у світі зараз мають певну форму деменції. Люди віком 65 років і старше мають вищий ризик розвитку деменції, ніж молодші вікові групи, але ці захворювання можуть виникати і у молодших людей. Ціла третина людей віком 85 років і старше мають певну форму деменції, що свідчить про те, що ризик розвитку цих захворювань зростає з віком, але не у всіх вони розвиваються.
Діагностика деменції ставиться за допомогою серії тестів у поєднанні з історією хвороби пацієнта. Існують способи лікування симптомів деменції, але ліків поки що немає. Докази свідчать про те, що підтримка здорового способу життя може допомогти зменшити ризик розвитку деменції.
Вам може сподобатися
-

Вакцина проти оперізувального лишаю може безпосередньо захищати від деменції, натякають дослідження
-

ВІЛ/СНІД: Факти про вірусну інфекцію, яка атакує імунну систему
-

Рідкісне спадкове захворювання, що спричиняє різке передчасне старіння
Все, що вам потрібно знати про деменцію. Які найпоширеніші типи деменції?
Деменція – це прогресуюче захворювання, що означає, що симптоми з часом погіршуються. Її можна класифікувати як «первинну» – тобто деменція сама по собі є основним захворюванням, що спричиняє симптоми – або як «вторинну», якщо деменція людини спричинена іншим захворюванням.
До поширених типів первинної деменції належать хвороба Альцгеймера, судинна деменція, деменція з тільцями Леві, лобно-скронева деменція та змішана деменція.
Хвороба Альцгеймера є найпоширенішим типом деменції, на яку припадає від 60% до 80% випадків. При хворобі Альцгеймера клітини, які називаються нейронами, мають проблеми зі зв'язком. Нейрони частково пошкоджуються через накопичення двох білків у мозку: тау-білка та бета-амілоїду. У людей з хворобою Альцгеймера однією з перших уражається пам'ять. З часом люди з хворобою Альцгеймера мають труднощі з виконанням повсякденних завдань, таких як приготування їжі, керування автомобілем та оплата рахунків.
Судинна деменція є другим за поширеністю типом. Вона виникає, коли відбувається переривання кровопостачання та кисню до мозку, наприклад, під час інсульту. Аномалії судинної деменції зазвичай можна побачити за допомогою МРТ. Перші симптоми, як правило, включають труднощі з вирішенням проблем, уповільнене мислення, втрату концентрації та організованості.
Деменція з тільцями Леві спричинена аномальними відкладеннями білка під назвою альфа-синуклеїн, який утворює згустки, що називаються тільцями Леві. Білок впливає на хімічні речовини, що діють як посланці в мозку. Симптоми деменції з тільцями Леві можуть включати проблеми з мисленням, рухом, сном і рівновагою, а також зміни настрою та запори. (Деменція при хворобі Паркінсона є формою деменції з тільцями Леві.)
Фронтотемпоральна деменція виникає внаслідок пошкодження лобової та скроневої часток мозку, розташованих відповідно за лобом та біля вух. Цей рідкісний тип деменції може зустрічатися у молодих людей — 60% діагностованих осіб віком від 45 до 64 років. Симптоми часто включають зміни в поведінці, рухах, мові та емоціях.
Змішана деменція — це коли людина має більше одного типу деменції одночасно. Цей тип часто виявляється після смерті людини; зазвичай протягом життя їй діагностували лише один тип деменції, а другий не розпізнали. Люди старше 80 років частіше хворіють на змішану деменцію та швидше погіршуються, ніж ті, хто має лише один тип.
Чи пов'язана деменція з іншими захворюваннями або станами?
Деменція може бути пов'язана з іншими захворюваннями. Коли вона виникає внаслідок іншого стану, її вважають «вторинною деменцією». Деякі стани, які можуть спричинити деменцію, включають хворобу Хантінгтона, хворобу Крейтцфельдта-Якоба, хворобу Паркінсона, синдром Верніке-Корсакова, ВІЛ/СНІД та черепно-мозкові травми.
Симптоми, подібні до деменції, також можуть бути наслідком тривалого та надмірного вживання алкоголю, побічних ефектів ліків, психічних розладів, низького рівня ключових поживних речовин, інфекцій, метаболічних розладів або пухлин головного мозку. При лікуванні першопричини ці типи симптомів деменції іноді можна усунути.
Аудіоопис: Що таке деменція? – YouTube

Дивіться, що викликає деменцію та як вона впливає на мозок?
Зазвичай деменція виникає через те, що мозок не функціонує належним чином. У деяких випадках у мозку відкладаються зайві та аномальні білки, як у випадку хвороби Альцгеймера та деменції з тільцями Леві. Білки ускладнюють зв'язок нейронів один з одним.
Інші причини деменції виникають, коли зв'язки між нервовими клітинами порушуються, як-от при лобно-скроневій деменції. У цьому випадку сигнали мозку не надсилаються та не надходять належним чином. Пошкодження кровоносних судин мозку також може спричинити деменцію, відому як судинна деменція.
Чи є деменція генетичною?
Генетика може відігравати певну роль у розвитку деменції. При хворобі Альцгеймера існує щонайменше 80 ділянок ДНК, пов'язаних з цим захворюванням. Один ген, APOE, має більший вплив на ризик розвитку деменції Альцгеймера, яка виникає після 65 років.
Цей ген допомагає переносити холестерин, жирну речовину, кровотоком. Існує три версії гена APOE, які впливають на ймовірність розвитку хвороби Альцгеймера. Один тип, який називається e4, збільшує ризик, тоді як інший, e2, зменшує його.
Генетика також може відігравати певну роль у розвитку лобно-скроневої деменції. За оцінками, третина цих випадків пов'язана зі спадковими генними мутаціями або змінами, що передаються від батьків до дитини.
Які перші ознаки деменції?
Симптоми деменції зазвичай починаються ледь помітно та з часом посилюються. Різні типи деменції можуть мати різні симптоми, але, за даними Асоціації Альцгеймера, існує 10 ранніх ознак деменції, які зазвичай спостерігаються при багатьох типах:
Зменшення мозку
Такі захворювання, як хвороба Альцгеймера, можуть спричинити зменшення мозку або «атрофію», що видно на МРТ-сканах, як показано вище.

(Зображення: Nephron, CC BY-SA 3.0, через Wikimedia Commons) Амілоїдні бляшки
Хвороба Альцгеймера пов'язана з накопиченням у мозку аномальних скупчень білка, які називаються амілоїдними бляшками, що видно на цьому мікроскопічному зображенні коричневого кольору.

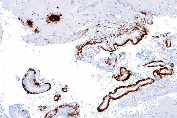
(Зображення: Movalley, CC0, через Wikimedia Commons)Тільця Леві
Деменція з тільцями Леві пов'язана з аномальними відкладеннями білків, які утворюють згустки, що називаються «тільцями Леві», показані коричневим кольором на цьому зображенні.
Дізнайтеся більше
- Існує новий аналіз крові на хворобу Альцгеймера. Ось усе, що вам потрібно про нього знати.
- «Подивіться на все це, чого ми не розуміємо»: Дослідження розкриває цілий новий шар хвороби Альцгеймера
- Чоловік, якому майже гарантовано рано захворіє на хворобу Альцгеймера, все ще не хворіє навіть у 70 років — як це працює?

Шира Гордон, автор Live Science
Шира Гордон — позаштатна журналістка з питань здоров'я та науки. Вона має ступінь доктора філософії з біології, отриманий в Університеті Цинциннаті. Після здобуття докторського ступеня вона провела майже десять років у лабораторії. Її дослідження були зосереджені на комунікації тварин, поєднуючи нейрофізіологію, поведінку та біомеханіку. Зараз, як науковий популяризатор, вона висвітлює питання здоров'я людини, тварин та екології. Окрім написання статей, Гордон працювала над контентом для веб-сайтів численних інститутів NIH та HHS, а також створювала та писала сценарії для відеороликів, що отримали нагороди.
Ви повинні підтвердити своє публічне ім'я, перш ніж коментувати
Будь ласка, вийдіть із системи, а потім увійдіть знову. Після цього вам буде запропоновано ввести своє ім'я для відображення.
Вийти Читати далі

Вакцина проти оперізувального лишаю може безпосередньо захищати від деменції, натякають дослідження

ВІЛ/СНІД: Факти про вірусну інфекцію, яка атакує імунну систему

Рідкісне спадкове захворювання, що спричиняє різке передчасне старіння

Чи можуть дорослі люди виростити нові клітини мозку?

Сканування мозку може розкрити ваш справжній біологічний вік

Американка померла від пріонової хвороби після ін'єкції 50 років тому. Останні новини про хворобу Альцгеймера та деменцію.

Існує новий аналіз крові на хворобу Альцгеймера — ось як він працює

Вакцина проти оперізувального лишаю може безпосередньо захищати від деменції, натякають дослідження

Чоловік, якому майже гарантовано рано захворіє на хворобу Альцгеймера, все ще не хворіє навіть у 70 років — як це працює?

«Реанімовані» віруси герпесу, що ховаються в мозку, можуть пов'язувати струси мозку та деменцію

Вчені стверджують, що майже половину випадків деменції у світі можна було б відтермінувати або запобігти

«Подивіться на все це, чого ми не розуміємо»: Дослідження розкриває цілий новий шар хвороби Альцгеймера. Найновіше в розділі «Посилання».

Що таке Тихоокеанське вогняне кільце?

Як дивитися Тиждень акул 2025: розклад прямого ефіру та трансляцій для спеціального випуску Discovery

Розлом Сан-Андреас: Факти про тріщину в земній корі Каліфорнії, яка може розкрити “Великий”

ВІЛ/СНІД: Факти про вірусну інфекцію, яка атакує імунну систему

Сонце: Факти про яскраву зірку в центрі Сонячної системи

Еволюція людини: Факти про останні 300 000 років Homo sapiens ОСТАННІ СТАТТІ

15-та планета, знайдена на орбіті сусідньої зірки, може знаходитися в зоні життя
Live Science є частиною Future US Inc, міжнародної медіагрупи та провідного цифрового видавництва. Відвідайте наш корпоративний сайт.
- Про нас
- Зв'яжіться з експертами Future
- Умови та положення
- Політика конфіденційності
- Політика щодо файлів cookie
- Заява про доступність
- Рекламуйтеся у нас
- Веб-сповіщення
- Кар'єра
- Редакційні стандарти
- Як запропонувати нам історію
© Future US, Inc. Повний 7-й поверх, 130 West 42nd Street, Нью-Йорк, штат Нью-Йорк, 10036.
var dfp_config = { “site_platform”: “vanilla”, “keywords”: “type-fact-file,van_sticky_side_nav,serversidehawk,videoarticle,van-enable-adviser-
Sourse: www.livescience.com



