
Ці личинки черв'яків були виявлені у пацієнта, який нещодавно отримав нову нирку від донора. (Зображення: The New England Journal of Medicine ©2025)
Згідно з новим звітом про випадок, двоє чоловіків були заражені паразитичними червами після того, як їм зробили трансплантацію інфікованих нирок у двох лікарнях США.
Згідно зі звітом, опублікованим 18 червня в New England Journal of Medicine, дві нирки належали до одного донора органів, який до смерті проживав у Карибському басейні.
Перший із двох реципієнтів нирки, 61-річний чоловік, переніс операцію з трансплантації в лікарні загального профілю Массачусетсу (MassGen). Через десять тижнів після отримання трансплантата його перевели назад до MassGen після первинної госпіталізації до іншої лікарні.
Вам може сподобатися
-

Висип «мігрував» по тілу чоловіка з його анального отвору
-

Паразитичний черв'як підвищує ризик раку шийки матки
-

Американка померла від пріонової хвороби після того, як 50 років тому їй зробили інфіковану ін'єкцію.
У нього з'явилися нудота, блювота, надмірна спрага, дискомфорт у животі, біль у спині та лихоманка. У першій лікарні лікарі виявили скупчення рідини в його легенях, чоловік почав часто дихати, відчуваючи, ніби йому не вистачає повітря, а рівень кисню знизився.
Коли у нього почалася дихальна недостатність і стався шок — а це означало небезпечно низький кров'яний тиск — його перевели до відділення інтенсивної терапії лікарні MassGen, де лікарі зафіксували фіолетовий висип, схожий на сузір'я синців, що поширювався по шкірі його живота.
Лікарі розпочали ретельне розслідування історії хвороби пацієнта та провели низку тестів, щоб точно визначити причину його симптомів.
Пацієнт приймав імуносупресивні препарати, щоб запобігти відторгненню нової нирки організмом, що зробило його більш сприйнятливим до інфекцій. Медична команда, до складу якої входила експертка з інфекційних захворювань та трансплантації органів докторка Камілла Коттон, мала завдання скоротити довгий список можливих інфекцій, щоб знайти найімовірнішу причину.
Вони змогли виключити бактеріальні інфекції, оскільки чоловікові давали антибіотики, але його стан не покращувався. Він також приймав противірусний препарат, а тест на SARS-CoV-2, вірус, що викликає COVID-19, виявився негативним. Це залишало певний вид паразита як ймовірного винуватця. Це підтверджувалося тим фактом, що рівень еозинофілів, типу лейкоцитів, які борються з паразитарними інфекціями, у крові чоловіка також різко зріс. Рівень цих клітин також може різко підвищуватися через реакції на ліки або відторгнення трансплантата, але ці причини були малоймовірними, враховуючи симптоми чоловіка, зазначив Коттон.

На фотографії, отриманій під час госпіталізації до відділення інтенсивної терапії, видно фіолетовий висип на животі чоловіка.
Коттон чула про випадки, коли пересаджені органи заражали своїх реципієнтів маленьким круглим червом під назвою Strongyloides stercoralis. Вона звернулася до Служби донорів Нової Англії, регіональної організації з забору органів, щодо можливого зараження. Хоча донор нирки помер, їм вдалося протестувати флакон з кров’ю донора, яка містила антитіла до Strongyloides, а це означало, що імунна система донора в певний момент зіткнулася з цим черв’яком.
Аналізи зразків крові пацієнта показали, що до трансплантації у нього не було антитіл до Strongyloides, але вони з'явилися після. Коли медична бригада взяла проби з різних ділянок тіла чоловіка, вони виявила, що глисти поширилися далеко та широко, вразивши його живіт, легені та шкіру.

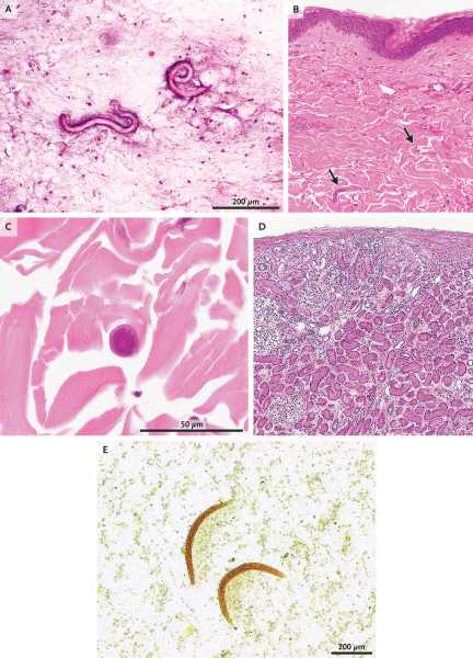
На панелях A–C цього рисунка показано личинки гельмінтів, знайдені в клінічних зразках пацієнта з MassGen. На панелі E показано ознаки стронгілоїдозу у калі пацієнта з Олбані.
Інфекції від трансплантатів трапляються рідко — за понад 10 років трансплантації в США, як показав огляд, інфекції, отримані від донорів, вразили лише 14 з кожних 10 000 трансплантацій органів. Американські лікарі не можуть використовувати органи від людей з певними активними інфекціями, такими як туберкульоз, а донорські органи тестуються на інфекційні захворювання, але ці тести не завжди виявляють все.
В огляді зазначалося 13 доведених або ймовірних випадків інфекцій Strongyloides протягом десятиліття, що становить 42% усіх паразитарних інфекцій, що передаються через трансплантацію органів. До цього огляду менше ніж кожна четверта організація з трансплантації органів регулярно проводила скринінг на Strongyloides, але у 2023 році Мережа закупівлі та трансплантації органів закликала до повсюдного тестування на цього паразита.
Медична команда MassGen лікувала чоловіка івермектином, потужним протипаразитарним препаратом. Вони отримали спеціальний дозвіл на введення препарату безпосередньо під шкіру для боротьби з інфекцією всього тіла, що зрештою призвело до його одужання.
Тим часом інші медичні центри, які пересаджували органи від того ж померлого донора, були повідомлені. Йдеться про 66-річного чоловіка, який лікувався в медичному центрі Олбані від втоми, низького рівня лейкоцитів та погіршення функції нирок після операції з трансплантації.
Обмінюючись нотатками з командою MassGen, лікарі змогли успішно лікувати цього другого пацієнта, якому пересадили іншу нирку донора.
«Трансплантація органів рятує життя», – повідомив Live Science речник Медичного центру Олбані в електронному листі. «У таких рідкісних випадках комунікація та координація між нашими лікарнями та залучення лікарів-інфекціоністів в обох лікарнях були критично важливими, як і сповіщення, яке нам надала наша регіональна організація з постачання органів».
Live Science звернулися до MassGen за коментарем.

Анна Роджерс, автор Live Science
Анна Роджерс — журналістка-фрілансерка з Окленду, Каліфорнія. Раніше вона працювала в галузі наукових комунікацій у NIH, а її статті публікувалися, серед інших видань, у Slate, Scientific American та журналі Discover.
Ви повинні підтвердити своє публічне ім'я, перш ніж коментувати
Будь ласка, вийдіть із системи, а потім увійдіть знову. Після цього вам буде запропоновано ввести своє ім'я для відображення.
Вийти Читати далі

Висип «мігрував» по тілу чоловіка з його анального отвору

Паразитичний черв'як підвищує ризик раку шийки матки

Американка померла від пріонової хвороби після того, як 50 років тому їй зробили інфіковану ін'єкцію.

Діагностична дилема: вчений заразився чумою від бактерій, які вважалися «неінфекційними»

Звичайний паразит обезголовлює людську сперму

Ця рідкісна бактеріальна інфекція викликає гнійні виразки в легенях та мозку. Найновіше у розділі Віруси, інфекції та хвороби.

Новий аналіз крові виявляє рак на 3 роки раніше за типовий діагноз, свідчать дослідження

Нові віруси виявлені у кажанів у Китаї

Деякі види раку з раннім початком зростають. Чому?

Існує новий аналіз крові на хворобу Альцгеймера — ось як він працює

Лікарі можуть боротися зі стійкістю до антибіотиків — і рятувати життя — відстежуючи еволюцію супербактерій у режимі реального часу, підказує дослідження

ВІЛ/СНІД: Факти про вірусну інфекцію, яка атакує імунну систему. Останні новини.

Новий титановий зуб Ведмедя – найбільша коронка у світі

«Загадкові» бронзові диски, прикрашені лев'ячими головами, виявлені в похованні римської епохи

ChatGPT може вражаюче добре керувати космічним кораблем, показують ранні випробування

Спостерігайте за виверженням грязьового вулкана під короною полум'я на Тайвані

Вчені виявили раніше невідому частину людських клітин

Новий аналіз крові виявляє рак на 3 роки раніше за типовий діагноз, підказки дослідження ОСТАННІ СТАТТІ

Астрономи виявили походження таємничих подвійних гарячих екзопланет Юпітера: «Це свого роду танець»
Live Science є частиною Future US Inc, міжнародної медіагрупи та провідного цифрового видавництва. Відвідайте наш корпоративний сайт.
- Про нас
- Зверніться до експертів Future
- Умови та положення
- Політика конфіденційності
- Політика щодо файлів cookie
- Заява про доступність
- Рекламуйтеся у нас
- Веб-сповіщення
- Кар'єра
- Редакційні стандарти
- Як запропонувати нам історію
© Future US, Inc. Повний 7-й поверх, 130 West 42nd Street, Нью-Йорк, штат Нью-Йорк, 10036.
var dfp_config = { “site_platform”: “vanilla”, “keywords”: “type-news-trending,serversidehawk,videoarticle,van-enable-adviser-
Sourse: www.livescience.com



