
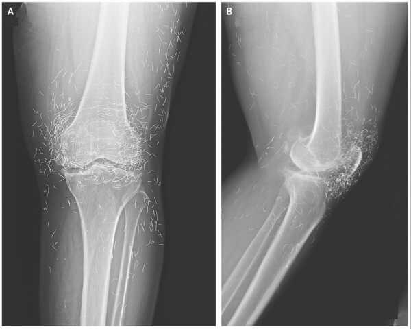
Рентгенівський знімок передньої (A) та бічної (B) частини лівого коліна пацієнта. Лінії – це крихітні золотисті нитки. (Зображення: The New England Journal of Medicine ©2013.)
Пацієнтка: 65-річна жінка з Південної Кореї
Симптоми: Пацієнтці раніше діагностували остеоартрит коліна — дегенеративне захворювання суглоба, яке викликає біль і скутість. Раніше вона зверталася за медичною допомогою та отримувала знеболювальні та нестероїдні протизапальні препарати для лікування цього захворювання. Раніше їй також робили ін’єкції стероїдів безпосередньо в коліна, але біль залишався.
Потім у неї почався сильний біль у животі від ліків, тому вона взагалі припинила їх приймати.
Вам може сподобатися
-

Дивна пухлина на стегні жінки була губкою, що залишилася під час кесаревого розтину.
-

Жінка почала їсти пінопласт зі свого крісла під час діалізу
-

У жінки щось потрапило в око — і це виявилися паразитичні черви
Що сталося далі: Жінка вирішила шукати альтернативні методи лікування, щоб полегшити біль у суглобах, і почала щотижня проходити сеанси акупунктури. Вона збільшила частоту до кількох разів на тиждень, коли біль був особливо сильним.
Пізніше вона звернулася до лікарні, оскільки в неї дуже боліли коліна. Рентген лівого коліна показав, що великогомілкова кістка у внутрішній частині суглоба потовстила та затверділа. Також на внутрішніх частинах великогомілкової кістки та стегнової кістки біля колінного суглоба були кісткові нарости, які називаються шпорами.
Лікарі також побачили на рентгенівському знімку сотні цяток навколо колінного суглоба, які виявилися крихітними золотими нитками.
Діагноз: Лікарі дізналися, що нитки були введені жінці в рамках процедури акупунктури. Ці короткі стерильні золоті нитки були навмисно залишені в тканинах для забезпечення постійної стимуляції.
Лікування: Лікарі не повідомили, чи були видалені золоті нитки у пацієнта, але в попередніх випадках нитки залишалися на місці.
Залишення ниток на місці не є безризиковим, оскільки в минулих випадках це призводило до утворення кіст.
Що робить цей випадок унікальним: лікарі написали у звіті про її випадок, що акупунктура із золотими нитками зазвичай використовується для лікування як остеоартриту, так і ревматоїдного артриту в Азії. Однак немає жодних доказів того, що ця практика працює, а деякі випадки свідчать про те, що вона може опосередковано погіршити артрит, заважаючи людям отримати належне та своєчасне лікування.
Наприклад, в іншому випадку 58-річна південнокорейка пройшла сеанс акупунктури із золотими нитками, щоб полегшити біль у зап’ястях, спричинений ревматоїдним артритом. Стан пацієнтки став особливо важким, коли вона звернулася за медичною допомогою, і лікарі вважали, що хвороба прогресувала настільки далеко, оскільки вона не прийняла протиревматоїдні препарати достатньо рано, а натомість покладалася на підхід альтернативної медицини.
ІНШІ ДИЛЕМИ
—Діагностична дилема: Чоловіка тримали під контролем, і чхання пробило йому трахею.
—Діагностична дилема: невдало зроблене татуювання на пенісі призвело до постійної напіверекції у чоловіка
—Діагностична дилема: Риб’яча кістка пройшла через живіт чоловіка та проколола його печінку
Також нитки можуть мігрувати всередині тіла, а фрагменти можуть пошкодити сусідні тканини. Наприклад, золоті нитки, вставлені в спину 75-річної південнокорейської жінки, протягом 10 років мігрували до її правої гомілки, спричинивши целюліт — глибоку інфекцію шкіри.
У своєму звіті про випадок захворювання коліна лікарі зазначили, що золоті нитки, введені під час акупунктури, можуть ускладнити читання рентгенівських знімків.
Інші попереджають, що ці вбудовані золоті нитки не дозволяють людям робити МРТ через ризик руху металу та пошкодження артерії.
Таким чином, лікарі зазначили, що медичні працівники повинні знати про потенційні фактори ризику, пов’язані з акупунктурою із золотими нитками. Однак той факт, що їх легко ідентифікувати на рентгенівських знімках, гарантує, що їхнє місцезнаходження можна буде відстежувати з часом, якщо це необхідно.
Застереження
Ця стаття призначена лише для ознайомлення та не є метою надання медичних порад.

Софі БердугоНавігація по соціальним посиланнямАвтор Live Science
Софі — штатна авторка Live Science з Великої Британії. Вона охоплює широкий спектр тем, раніше публікуючи статті про дослідження, що охоплюють різні теми: від спілкування бонобо до першої води у Всесвіті. Її роботи також публікувалися в таких виданнях, як New Scientist, The Observer та BBC Wildlife, а також вона була номінована на премію «Новачок року» Асоціації британських наукових письменників 2025 року за свою позаштатну роботу в New Scientist. Перш ніж стати науковою журналісткою, вона отримала докторський ступінь з еволюційної антропології в Оксфордському університеті, де чотири роки досліджувала, чому деякі шимпанзе краще користуються інструментами, ніж інші.
Ви повинні підтвердити своє публічне ім’я, перш ніж коментувати
Будь ласка, вийдіть із системи, а потім увійдіть знову. Після цього вам буде запропоновано ввести своє ім’я для відображення.
Вийти Читати далі

Дивна пухлина на стегні жінки була губкою, що залишилася під час кесаревого розтину.

Жінка почала їсти пінопласт зі свого крісла під час діалізу

У жінки щось потрапило в око — і це виявилися паразитичні черви

Отрута павука чорної вдови отруїла жінку через око

Проблеми з зубами у дівчинки спричинили небезпечну для життя інфекцію ока

Рідкісна алергія на сперму могла спричинити жіноче безпліддя.

Залишки стародавніх вірусів складають 40% нашого геному. Вони можуть спровокувати дегенерацію мозку.

Наукові новини цього тижня: перша у світі трансплантація легень від свині людині, і SpaceX Starship успішно здійснив випробувальний політ

«Я б ніколи не дозволив роботу висиджувати мою дитину»: Опитування щодо «роботів для вагітних» розділило читачів Live Science

Ми нарешті маємо уявлення про те, як розвивається запас яєць у приматів протягом усього життя.

3 найкращі пропозиції щодо фітнес-трекерів, які ми помітили на розпродажі до Дня праці

«Годинники старіння» можуть передбачити ризик захворювань та передчасної смерті. Ось що потрібно знати. Найновіші статті

Сильний біль у коліні жінки виявив «золоті нитки» в її суглобах

Гігантський піщаний «слимак» повзе заплавами в Казахстані, але незабаром може замерзнути.

Танцівниці Ханіва: 1500-річні примарні фігурки, які, як вважається, утримують душі померлих

Лоугаріма: «зникаюче озеро» в Північній Ірландії, яке таємничим чином висихає та знову наповнюється протягом кількох годин

Найдовший каньйон у Сонячній системі розкриває нові таємниці — Космічне фото тижня

Наукові новини цього тижня: шторми вирують на Землі та Сонці, а навколо Урана помічено новий місяць. ОСТАННІ СТАТТІ

1Посібник для початківців з макрофотографії
Live Science є частиною Future US Inc, міжнародної медіагрупи та провідного цифрового видавництва. Відвідайте наш корпоративний сайт.
- Про нас
- Зверніться до експертів Future
- Умови та положення
- Політика конфіденційності
- Політика щодо файлів cookie
- Заява про доступність
- Рекламуйтеся у нас
- Веб-сповіщення
- Кар’єра
- Редакційні стандарти
- Як запропонувати нам історію
© Future US, Inc. Повний 7-й поверх, 130 West 42nd Street, Нью-Йорк, штат Нью-Йорк, 10036.
var dfp_config = { “site_platform”: “vanilla”, “keywords”: “type-regular,serversidehawk,videoarticle,van-enable-adviser-
Sourse: www.livescience.com
